
Мастер-Дент, стоматологический центр
г.Березники, ул. К. Маркса, 64
10.00-20.00 пн-пт

Адреса клиники "Мастер-Дент" в г.Березники
- ул. К.Маркса, 64, тел. +7(3424) 23-23-99 (доб. номер 1), +7-902-633-54-47
- ул. Мира, 58, тел. +7(3424) 23-23-99 (доб. номер 2), +7-958-24-00-138
- мкрн Любимов, Строгановский бульвар, 13, тел. +7(3424) 23-23-99 (доб. номер 3), +7-958-142-24-88

Вы когда-нибудь откладывали визит к стоматологу, пока боль не станет невыносимой? Мы понимаем — в жизни столько дел, что до лечения зубов "руки не доходят". Но проблема в том, что безобидный кариес быстро превращается в острую боль, воспаление или потерю зуба. А восстановление — это сложнее и дороже.
Центр стоматологии «Мастер-Дент» — решает проблемы и оказывает все виды стоматологических услуг:
- лечение зубов
- удаление зубов
- хирургические услуги
- имплантация зубов
- протезирование зубов
- исправление прикуса и положения зубов
- рентген
- пародонтология
В центре имеются специализированные кабинеты с современным оборудованием для лечения, удаления и протезирования зубов, а также для исправления прикуса и положения зубов.
Мы рекомендуем проходить ежегодные профилактические осмотры, которые на ранней стадии позволяют выявить кариес и другие заболевания.
Для диагностики лечения в клинике Мастер-Дент установлен рентген – дентальный томограф, который позволяет поставить точный диагноз, что является залогом планирования успешного лечения.
Для изготовления протезов есть собственная лаборатория, оснащенная современным оборудованием для изготовления металлокерамических коронок, нейлоновых протезов.
Лечение зубов, лечение кариеса в Березниках

Лечение зубов в Березниках осуществляется на высоком уровне. В стоматологической клинике "Мастер-Дент" пациенту предоставляется широкий спектр услуг для борьбы с кариесом – заболеванием, вызванным деминерализацией и разрушением твердых тканей зуба.
Кариес может проявляться через пигментные пятна на эмали, неприятный запах изо рта или боль при употреблении пищи разной температуры и вкуса. Различные факторы, включая снижение иммунитета и неправильную диету, могут способствовать развитию кариеса, особенно при недостаточной гигиене полости рта.
Стоматология Мастер-Дент предлагает комплексный подход к лечению кариеса, начиная от диагностики и заканчивая восстановлением поврежденных тканей зуба с использованием качественных материалов.
Наши специалисты готовы предложить профессиональную гигиену полости рта, что является ключевым моментом в профилактике кариеса. Рекомендуется не откладывать визит к стоматологу при первых признаках кариеса, таких как дискомфорт или появление маленьких дырочек в зубах.
Запись к врачу в Березниках доступна для всех желающих пройти лечение в Мастер-Дент, где каждый пациент может рассчитывать на индивидуальный подход и высокое качество обслуживания. Телефон +7(3424) 23-23-99
Удаление зубов

Удаление зуба может понадобиться по разным причинам: глубокий кариес, травма, воспаление, ретинированный (непрорезавшийся) зуб. В любом случае – это плановая процедура, которую мы проводим быстро, аккуратно и без боли. Как проходит удаление зуба:
- Точная диагностика. Перед процедурой делаем рентген или КТ, чтобы точно видеть расположение корней и состояние окружающих тканей.
- Современная анестезия. Используем препараты, которые полностью убирают боль — вы не чувствуете ни боли, ни дискомфорта.
- Минимальное вмешательство. Если зуб можно удалить щадящим способом — мы выбираем именно его. Даже в сложных случаях стараемся сохранить кость и мягкие ткани.
- Восстановление. После удаления даём чёткие рекомендации, назначаем препараты для быстрого заживления и, при необходимости, подбираем способ восстановления зуба.
Пример:
Пациентка обратилась с сильной болью — зуб мудрости рос под углом и давил на соседние. Сначала сделали снимок, оценили ситуацию. Удалили зуб мудрости под местной анестезией за 20 минут. Без боли. После удаления зуба она спокойно ела и вернулась к работе. Удаление — это не крайняя мера, а грамотное решение в нужный момент. Главное — чтобы его проводил профессионал.
Если вам назначили удаление зуба — не бойтесь. Запишитесь на консультацию, мы всё объясним и проведем процедуру максимально комфортно.
Телефоны: +7(3424) 23-23-99 (доб. номер 1), +7-902-633-54-47
Хирургические услуги (хирург-стоматолог)

Хирургические услуги: удаление зубов, сложное удаление зубов (зубы мудрости), пластика уздечки, установка имплантов.
Как происходит удаление зубов
- Безболезненно, с использованием современной анестезии. Стоматологическая клиника Мастер-Дент предлагает безболезненное удаление зубов, благодаря применению передовых методов анестезии. Специалисты обеспечат комфорт и минимальный стресс во время процедуры, делая визит максимально спокойным и безболезненным.
- Индивидуальный подход к каждому случаю удаления зуба. Мы тщательно анализируем все возможные варианты лечения, чтобы удаление было последней мерой, прилагая все усилия для сохранения вашего зуба.
- Использование современного оборудования для минимизации дискомфорта. Наша клиника оснащена последними технологиями и оборудованием, что позволяет выполнять процедуру удаления зубов максимально быстро и с минимальным дискомфортом для пациента.
- Консультации и поддержка после удаления зуба. Мы предлагаем не только профессиональное удаление зубов, но и всестороннюю поддержку после процедуры. Наши врачи обеспечивают полный спектр рекомендаций по уходу за полостью рта в послеоперационный период, помогая ускорить процесс заживления.
- Профилактика и планирование восстановления после удаления зуба. Удаление зуба – это лишь начало пути к восстановлению вашей улыбки. Мы предлагаем комплексные планы восстановления, включая имплантацию и протезирование, чтобы вы могли наслаждаться здоровой и красивой улыбкой после процедуры.
- Экстренное удаление зубов с возможностью немедленной записи. В случае экстренной ситуации наша клиника готова предложить немедленное удаление зубов. Благодаря оперативной записи к врачу и гибкому графику работы, мы можем обеспечить быстрое и эффективное решение вашей проблемы.
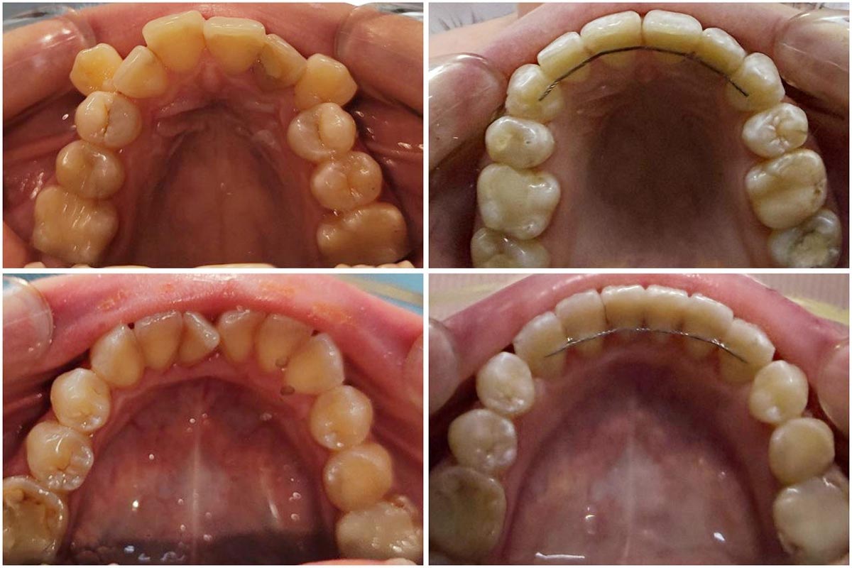
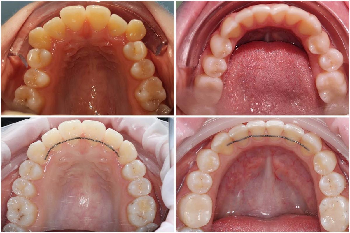
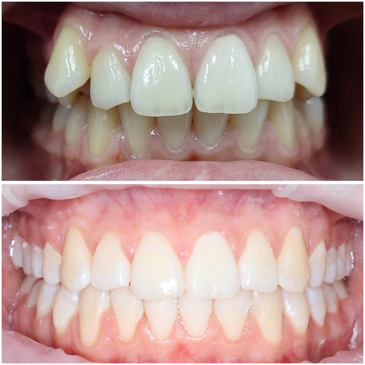
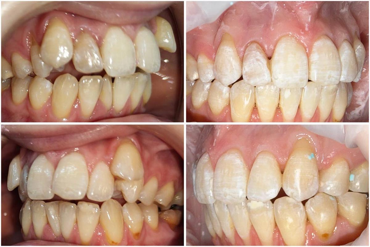
Ортодонт в Березниках. Исправление неправильного прикуса

Начинать лечить неправильный прикус нужно сразу же, как только проблема появилась. Неправильный прикус может стать не только причиной эстетических проблем (непропорциональная челюсть, кривые зубные ряды и т.д), но и проблем с повреждением зубов, десен, стираемости зубов.
Пациент проходит четыре этапа лечения: обследование, установка, плановые визиты и снятие. Срок установки и ношения брекетов определяет врач, в зависимости от ситуации.
Протезирование зубов
Если у Вас:
- проблемы с пережевыванием пищи
- вы не можете улыбнуться, так как отсутствуют зубы, или они разрушены
Мы предложим вам восстановить функцию жевания и решить эстетические проблемы с помощью съемного или несъемного протезирования.
В нашей клинике в г. Березники установят:
- импланты
- металлокерамические коронки и мостовидные протезы
- металлические штампованные и литые коронки
- съемные протезы из нейлона, ацетала, акрила.
Ортопед предложит вам ту конструкцию, которая устроит, как функционально, так и финансово.
В клинике Мастер-Дент есть своя зуботехническая лаборатория и это позволяет сократить время изготовления протеза. А взаимодействие врача и зубного техника значительно повышает качество протезирования.

Импланты. Преимущества
Импланты – это современное и эффективное решение для восстановления утраченных зубов, которое позволяет не только вернуть красоту улыбки, но и сохранить здоровье всей полости рта. Несколько причин, почему стоит рассмотреть установку имплантов:
- Восстановление функциональности
Импланты восстанавливают не только внешний вид улыбки, но и полноценную функциональность зубного ряда, позволяя вам нормально жевать и говорить. Они передают жевательную нагрузку на костную ткань, поддерживая ее здоровье и предотвращая атрофию. - Долговечность и надежность
По сравнению с традиционными мостами или протезами, импланты служат значительно дольше, часто всю жизнь, благодаря высококачественным материалам и технологии интеграции с костью. - Сохранение здоровья соседних зубов
Установка имплантов не требует обтачивания соседних здоровых зубов, как это необходимо для установки моста, что позволяет сохранить их натуральную структуру и здоровье. - Профилактика потери костной ткани
После потери зуба костная ткань в этой области начинает атрофироваться из-за отсутствия нагрузки. Импланты стимулируют костную ткань, предотвращая ее атрофию и сохраняя объем и структуру челюсти. - Улучшение качества жизни
Импланты позволяют вести привычный образ жизни, улучшают самооценку и социальное взаимодействие, возвращая уверенность в своей улыбке. - Эстетическая выгода
Импланты выглядят и ощущаются как натуральные зубы, обеспечивая естественный внешний вид. Материалы, из которых изготовлены коронки на имплантах, имитируют прозрачность и блеск натурального зуба. - Отсутствие дискомфорта и неудобства
В отличие от съемных протезов, импланты не вызывают дискомфорта и не требуют привыкания. Они не двигаются и не выпадают, что дает чувство уверенности в любой ситуации.
Пародонтолог — специалист по здоровью десен

Десны кровоточат? Появился запах изо рта? Это не «мелочи», а причина идти к пародонтологу.
Большинство людей заботятся о зубах, но забывают о деснах. А именно они удерживают зубы в челюсти. Если с деснами что-то не так — зубы начинают шататься и могут выпасть, даже если сами по себе здоровы.
Пародонтолог – врач, который спасает зубы, не леча их, а сохраняя опору, на которой они держатся.
Когда нужен пародонтолог:
- кровь при чистке зубов, еде, боль при жевании
- неприятный запах изо рта, даже после чистки
- чувствительность, оголённые шейки зубов
- подвижность зубов, воспаление, гной, налёт, который не убирается щёткой
Что делает пародонтолог: Проводит осмотр, диагностику и находит причину воспаления. Чистит глубокие участки между зубом и десной, назначает лечение и укрепляет ткани. Даже при сложных случаях помогает сохранить свои зубы.
Почему это важно: Без лечения десна отходит, ткань кости разрушается, и зубы начинают выпадать. Пародонтолог останавливает этот процесс.
Если вы замечаете кровоточивость, запах, чувствительность — это не просто дискомфорт. Это начало болезни, которая может привести к потере зубов. Пародонтолог поможет остановить разрушение и сохранить вашу улыбку.
В клинике "Мастер-Дент" в г.Березники используют только качественные и проверенные материалы. Все медицинские сотрудники имеют лицензии и сертификаты на проведение медицинской помощи.
Лицензия Л041-01167-59/00363196 от 20.12.2019г
Реклама. ООО "Мастер-Дент", ИНН 5911067993
Имеются противопоказания к применению и использованию, необходимо ознакомления с инструкцией по применению или получения консультации специалистов. Имеются противопоказания к применению и использованию, необходимо ознакомления с инструкцией по применению или получения консультации специалистов. Имеются противопоказания к применению и использованию, необходимо ознакомления с инструкцией по применению или получения консультации специалистов. Имеются противопоказания к применению и использованию, необходимо ознакомления с инструкцией по применению или получения консультации специалистов. Имеются противопоказания к применению и использованию, необходимо ознакомления с инструкцией по применению или получения консультации специалистов. Имеются противопоказания к применению и использованию, необходимо ознакомления с инструкцией по применению или получения консультации специалистов. Имеются противопоказания к применению и использованию, необходимо ознакомления с инструкцией по применению или получения консультации специалистов. Имеются противопоказания к применению и использованию, необходимо ознакомления с инструкцией по применению или получения консультации специалистов. Имеются противопоказания к применению и использованию, необходимо ознакомления с инструкцией по применению или получения консультации специалистов.